dinoflagellates
-
ttkthomsen
- Rev haj

- Reactions: 319
- Indlæg: 2067
- Tilmeldt: fre 28. maj 2004 19:25
- 21
- Postnummer: 4600 Køge
- Saltvand siden?: 2009
- Geografisk sted: Strøby egede
dinoflagellates
Jeg tror satme jeg har fået mig en omgang dinoflagellates, helt uden at bestille det.
Hvad gør jeg bedst for at komme af med det? Jeg har læst forskellige tiltag, troede egentlig jeg skulle stoppe alt tilsætning af nitrat og po4 samt levende phytonplankton, da jeg egentlig troede det kom at en overdossering af dette.
Men nu læser jeg sørme nogle steder at det kunne være kuren mod dinoflagellates, at tilsætte phytonplankton? Jeg har den typer der bliver mindre om natten og så vokser når lyset kommet på.
Tips og triks til at bekæmpe det djævlskab modtages med kydshånd, også hvis det omfatter kemi!
Hvad gør jeg bedst for at komme af med det? Jeg har læst forskellige tiltag, troede egentlig jeg skulle stoppe alt tilsætning af nitrat og po4 samt levende phytonplankton, da jeg egentlig troede det kom at en overdossering af dette.
Men nu læser jeg sørme nogle steder at det kunne være kuren mod dinoflagellates, at tilsætte phytonplankton? Jeg har den typer der bliver mindre om natten og så vokser når lyset kommet på.
Tips og triks til at bekæmpe det djævlskab modtages med kydshånd, også hvis det omfatter kemi!
- Casper M
- Naso kirurg

- Reactions: 192
- Indlæg: 495
- Tilmeldt: søn 7. mar 2021 00:30
- 4
- Postnummer: 6430 Nordborg
- Saltvand siden?: 2019
Re: dinoflagellates
Jeg har haft dino jeg købte fauna marin dino x og det er noget der virker cirka 10 dage så var alt væk..ttkthomsen skrev: man 18. mar 2024 13:37 Jeg tror satme jeg har fået mig en omgang dinoflagellates, helt uden at bestille det.
Hvad gør jeg bedst for at komme af med det? Jeg har læst forskellige tiltag, troede egentlig jeg skulle stoppe alt tilsætning af nitrat og po4 samt levende phytonplankton, da jeg egentlig troede det kom at en overdossering af dette.
Men nu læser jeg sørme nogle steder at det kunne være kuren mod dinoflagellates, at tilsætte phytonplankton? Jeg har den typer der bliver mindre om natten og så vokser når lyset kommet på.
Tips og triks til at bekæmpe det djævlskab modtages med kydshånd, også hvis det omfatter kemi!
Mange bruger også phyto til at bekæmpe det med men det er vidst en lidt længere proces
1
- Stefan
- Rev haj

- Reactions: 52
- Indlæg: 2104
- Tilmeldt: tirs 29. aug 2006 08:24
- 19
- Postnummer: 2750 Ballerup
- Saltvand siden?: 2007
- Kontakt:
Re: dinoflagellates
Meld dig ind i denne Facebook-gruppe:
https://www.facebook.com/groups/259474048655429
Der er mange forskellige typer af dem og de bekæmpes på forskellig vis.
https://www.facebook.com/groups/259474048655429
Der er mange forskellige typer af dem og de bekæmpes på forskellig vis.
1
-
ttkthomsen
- Rev haj

- Reactions: 319
- Indlæg: 2067
- Tilmeldt: fre 28. maj 2004 19:25
- 21
- Postnummer: 4600 Køge
- Saltvand siden?: 2009
- Geografisk sted: Strøby egede
Re: dinoflagellates
Tak for ovenstående det er værdsat. Jeg forsøger at finde et mikroskop så jeg kan spore mig ind på hvad det er jeg har fornøjelsen af have besøg af. Mon skulle få fat i noget aktiv kul hvis det skulle begynde at frigive noget?
Andre må forsat også gerne byde ind.
Andre må forsat også gerne byde ind.
-
Seniorreefer
- Rev haj

- Reactions: 848
- Indlæg: 2034
- Tilmeldt: søn 3. jul 2022 19:46
- 3
- Postnummer: 8800 Viborg
- Saltvand siden?: 1992
- Geografisk sted: Viborg
- Kontakt:
Re: dinoflagellates
Har du et billede. Er det bundlag eller i vandet.ttkthomsen skrev: man 18. mar 2024 15:39 Tak for ovenstående det er værdsat. Jeg forsøger at finde et mikroskop så jeg kan spore mig ind på hvad det er jeg har fornøjelsen af have besøg af. Mon skulle få fat i noget aktiv kul hvis det skulle begynde at frigive noget?
Andre må forsat også gerne byde ind.
Ang dinox kan jeg ikke anbefale at bruge det. Mistede mange SPS til det lort, det er som at spille roulette.
Hvis vandbåret er uv det eneste som virker, hvis det er dem i bundlaget, så er phytoplanton vejet frem. Har prøvet alt det som de grupper anbefaler.
Det som fik stoppet mit var phytoplanton bakterien er Synechococcus. Hæver også NO3, husk også at få PO4 op.
Jeg hældte 1/2 liter i hver anden dag, anbefalet af en US gut, som lever af vedligeholdelse af akvarier, som havde det i alle deres, grundet brug af vibrant
600L - 90% LPS/SPS. - Its all about stability
Min rejse https://www.saltvandsforum.dk/viewtopic ... 94&t=93642
My Photo Web https://seniorreefer.dk/
Instagram https://www.instagram.com/senior_reefer/
Min rejse https://www.saltvandsforum.dk/viewtopic ... 94&t=93642
My Photo Web https://seniorreefer.dk/
Instagram https://www.instagram.com/senior_reefer/
-
charlie saltvand
- Rev haj

- Reactions: 283
- Indlæg: 3977
- Tilmeldt: man 20. maj 2013 20:45
- 12
- Postnummer: 2450 København SV
- Saltvand siden?: 1983
Re: dinoflagellates
Fuck Tonning. Jeg blev ramt af det, da jeg startede op igen. Ny startet akvarie, efter ca 2 måneders indkøring.
Jeg smed et lille uv filter i baljen (der var jo kun ca 200L vand i alt. Sådan et filter der hedder “green machine” ell noget…? + doserede både No3 og po4 OP.
Dem der er hårdest ramt dosere silikat i rå mængder, så der kommer diatom alger i stedet for Dinoflagelatter. Dét virker også, men er en lang omgang….. Når diatom alger har vundet slaget skal de så bekæmpes, og derefter kommer der så (ofte) cyano…. Det kan lade sig gøre, men kan godt blive en langhåret affære.
Som Stefan skriver så er mikroskop id den sikreste vej frem ift bekæmpelses metoden. Hvis du kan få nogle nogenlunde gode fotos så skynd dig at smide dem ind i ovenstående FB gruppe. De er MEGA hjælpsomme
Jeg smed et lille uv filter i baljen (der var jo kun ca 200L vand i alt. Sådan et filter der hedder “green machine” ell noget…? + doserede både No3 og po4 OP.
Dem der er hårdest ramt dosere silikat i rå mængder, så der kommer diatom alger i stedet for Dinoflagelatter. Dét virker også, men er en lang omgang….. Når diatom alger har vundet slaget skal de så bekæmpes, og derefter kommer der så (ofte) cyano…. Det kan lade sig gøre, men kan godt blive en langhåret affære.
Som Stefan skriver så er mikroskop id den sikreste vej frem ift bekæmpelses metoden. Hvis du kan få nogle nogenlunde gode fotos så skynd dig at smide dem ind i ovenstående FB gruppe. De er MEGA hjælpsomme
Har prøvet lidt af hvert. Besøg mit nuværende setup = Less is more her http://www.saltvandsforum.dk/viewtopic.php?f=94&t=73750" onclick="window.open(this.href);return false;
- Casper M
- Naso kirurg

- Reactions: 192
- Indlæg: 495
- Tilmeldt: søn 7. mar 2021 00:30
- 4
- Postnummer: 6430 Nordborg
- Saltvand siden?: 2019
Re: dinoflagellates
Er du sikker på det ikke kan være dinoen der har slået nogle af dine sps’er ihjel?Seniorreefer skrev: man 18. mar 2024 16:09Har du et billede. Er det bundlag eller i vandet.ttkthomsen skrev: man 18. mar 2024 15:39 Tak for ovenstående det er værdsat. Jeg forsøger at finde et mikroskop så jeg kan spore mig ind på hvad det er jeg har fornøjelsen af have besøg af. Mon skulle få fat i noget aktiv kul hvis det skulle begynde at frigive noget?
Andre må forsat også gerne byde ind.
Ang dinox kan jeg ikke anbefale at bruge det. Mistede mange SPS til det lort, det er som at spille roulette.
Hvis vandbåret er uv det eneste som virker, hvis det er dem i bundlaget, så er phytoplanton vejet frem. Har prøvet alt det som de grupper anbefaler.
Det som fik stoppet mit var phytoplanton bakterien er Synechococcus. Hæver også NO3, husk også at få PO4 op.
Jeg hældte 1/2 liter i hver anden dag, anbefalet af en US gut, som lever af vedligeholdelse af akvarier, som havde det i alle deres, grundet brug af vibrant
Mange skyder også skylden på flatworm exit når alle deres fisk dør de glemmer bare lige at flatworms kan frigive en gift når de dør
1
-
Seniorreefer
- Rev haj

- Reactions: 848
- Indlæg: 2034
- Tilmeldt: søn 3. jul 2022 19:46
- 3
- Postnummer: 8800 Viborg
- Saltvand siden?: 1992
- Geografisk sted: Viborg
- Kontakt:
Re: dinoflagellates
Det kan du tror, jeg er helt sikker på 
Alle de giftige havde jeg endelig kommet af med. Gik lidt i panik da jeg fik dem i bundlaget. Havde kæmpet længe med dino, og valgte derfor en hurtigt løsning og købte dinox. Efter den 10 dosering (20 dage) stod jeg op om morgen til hvide koraller, montipora, acropora. Jeg havde en måned før købt High end koraller for 6k, og 3 af dem stod hvide tilbage
Alle de giftige havde jeg endelig kommet af med. Gik lidt i panik da jeg fik dem i bundlaget. Havde kæmpet længe med dino, og valgte derfor en hurtigt løsning og købte dinox. Efter den 10 dosering (20 dage) stod jeg op om morgen til hvide koraller, montipora, acropora. Jeg havde en måned før købt High end koraller for 6k, og 3 af dem stod hvide tilbage
1
600L - 90% LPS/SPS. - Its all about stability
Min rejse https://www.saltvandsforum.dk/viewtopic ... 94&t=93642
My Photo Web https://seniorreefer.dk/
Instagram https://www.instagram.com/senior_reefer/
Min rejse https://www.saltvandsforum.dk/viewtopic ... 94&t=93642
My Photo Web https://seniorreefer.dk/
Instagram https://www.instagram.com/senior_reefer/
-
ttkthomsen
- Rev haj

- Reactions: 319
- Indlæg: 2067
- Tilmeldt: fre 28. maj 2004 19:25
- 21
- Postnummer: 4600 Køge
- Saltvand siden?: 2009
- Geografisk sted: Strøby egede
Re: dinoflagellates
Det er på bundlaget med også på sten. Det er ikke rød som cyano men mere brunt, som har nogle lange tynde afstikke, præcis som på billede her:Seniorreefer skrev: man 18. mar 2024 16:09Har du et billede. Er det bundlag eller i vandet.ttkthomsen skrev: man 18. mar 2024 15:39 Tak for ovenstående det er værdsat. Jeg forsøger at finde et mikroskop så jeg kan spore mig ind på hvad det er jeg har fornøjelsen af have besøg af. Mon skulle få fat i noget aktiv kul hvis det skulle begynde at frigive noget?
Andre må forsat også gerne byde ind.
Ang dinox kan jeg ikke anbefale at bruge det. Mistede mange SPS til det lort, det er som at spille roulette.
Hvis vandbåret er uv det eneste som virker, hvis det er dem i bundlaget, så er phytoplanton vejet frem. Har prøvet alt det som de grupper anbefaler.
Det som fik stoppet mit var phytoplanton bakterien er Synechococcus. Hæver også NO3, husk også at få PO4 op.
Jeg hældte 1/2 liter i hver anden dag, anbefalet af en US gut, som lever af vedligeholdelse af akvarier, som havde det i alle deres, grundet brug af vibrant
https://reefbuilders.com/2020/05/11/din ... treatment/
Det er ikke så slemt om morgenen, men om aftenen kommer der virkelig meget. Jeg har masser af phytoplanton men det lyder til at jeg skal ud og købe mig et uv.
Og så skal jeg have bestilt noget dinox så jeg har det!
Lige nu har det fået en gang chemiclean og så har jeg mørklagt det et døgn, ser lige hvad der sker ved det
Og så skal jeg have fundet en god youtube video der viser hvordan man bruger et mikroskop (har adgang til nogle fine nogen), så jeg kan se hvad det er jeg har.
-
ttkthomsen
- Rev haj

- Reactions: 319
- Indlæg: 2067
- Tilmeldt: fre 28. maj 2004 19:25
- 21
- Postnummer: 4600 Køge
- Saltvand siden?: 2009
- Geografisk sted: Strøby egede
Re: dinoflagellates
Ja det virker til at være en rigtig god gruppe på FB, jeg må igang med mikrosopet.charlie saltvand skrev: man 18. mar 2024 18:25 Fuck Tonning. Jeg blev ramt af det, da jeg startede op igen. Ny startet akvarie, efter ca 2 måneders indkøring.
Jeg smed et lille uv filter i baljen (der var jo kun ca 200L vand i alt. Sådan et filter der hedder “green machine” ell noget…? + doserede både No3 og po4 OP.
Dem der er hårdest ramt dosere silikat i rå mængder, så der kommer diatom alger i stedet for Dinoflagelatter. Dét virker også, men er en lang omgang….. Når diatom alger har vundet slaget skal de så bekæmpes, og derefter kommer der så (ofte) cyano…. Det kan lade sig gøre, men kan godt blive en langhåret affære.
Som Stefan skriver så er mikroskop id den sikreste vej frem ift bekæmpelses metoden. Hvis du kan få nogle nogenlunde gode fotos så skynd dig at smide dem ind i ovenstående FB gruppe. De er MEGA hjælpsomme![]()
-
ttkthomsen
- Rev haj

- Reactions: 319
- Indlæg: 2067
- Tilmeldt: fre 28. maj 2004 19:25
- 21
- Postnummer: 4600 Køge
- Saltvand siden?: 2009
- Geografisk sted: Strøby egede
Re: dinoflagellates
Jeg får bestilt nogle flasker, så de er på lagerCasper M skrev: man 18. mar 2024 13:53Jeg har haft dino jeg købte fauna marin dino x og det er noget der virker cirka 10 dage så var alt væk..ttkthomsen skrev: man 18. mar 2024 13:37 Jeg tror satme jeg har fået mig en omgang dinoflagellates, helt uden at bestille det.
Hvad gør jeg bedst for at komme af med det? Jeg har læst forskellige tiltag, troede egentlig jeg skulle stoppe alt tilsætning af nitrat og po4 samt levende phytonplankton, da jeg egentlig troede det kom at en overdossering af dette.
Men nu læser jeg sørme nogle steder at det kunne være kuren mod dinoflagellates, at tilsætte phytonplankton? Jeg har den typer der bliver mindre om natten og så vokser når lyset kommet på.
Tips og triks til at bekæmpe det djævlskab modtages med kydshånd, også hvis det omfatter kemi!
Mange bruger også phyto til at bekæmpe det med men det er vidst en lidt længere proces![]()
-
ttkthomsen
- Rev haj

- Reactions: 319
- Indlæg: 2067
- Tilmeldt: fre 28. maj 2004 19:25
- 21
- Postnummer: 4600 Køge
- Saltvand siden?: 2009
- Geografisk sted: Strøby egede
Re: dinoflagellates
Tak for tippet Stefan, er nu medlem af gruppen.Stefan skrev: man 18. mar 2024 14:25 Meld dig ind i denne Facebook-gruppe:
https://www.facebook.com/groups/259474048655429
Der er mange forskellige typer af dem og de bekæmpes på forskellig vis.
-
Seniorreefer
- Rev haj

- Reactions: 848
- Indlæg: 2034
- Tilmeldt: søn 3. jul 2022 19:46
- 3
- Postnummer: 8800 Viborg
- Saltvand siden?: 1992
- Geografisk sted: Viborg
- Kontakt:
Re: dinoflagellates
Sådan ser de giftige ud.
Husk dinox kun tager nogle former for dino
Husk dinox kun tager nogle former for dino
600L - 90% LPS/SPS. - Its all about stability
Min rejse https://www.saltvandsforum.dk/viewtopic ... 94&t=93642
My Photo Web https://seniorreefer.dk/
Instagram https://www.instagram.com/senior_reefer/
Min rejse https://www.saltvandsforum.dk/viewtopic ... 94&t=93642
My Photo Web https://seniorreefer.dk/
Instagram https://www.instagram.com/senior_reefer/
- Holst
- Rev Papegøje fisk

- Reactions: 100
- Indlæg: 977
- Tilmeldt: man 28. jan 2008 10:11
- 17
- Postnummer: 6800 Varde
- Saltvand siden?: 2009
- Geografisk sted: Varde
Re: dinoflagellates
Det er pisse hamrende træls !
Jeg havde Dino's også for noget tid siden. Jeg er ikke helt klar over hvilken jeg havde, men vil tro det var den giftige da min erimit og sådan gik til.
Jeg angreb det med UV, Blackout en uges tid og efterfølgende doserede jeg store mængder Phyto. Og når man bekæmper dino's skal der store mængder til!
Ved Seniorreefer har en god beskrivelse af hvordan forløb med phyto dosering ku se ud.
Jeg havde Dino's også for noget tid siden. Jeg er ikke helt klar over hvilken jeg havde, men vil tro det var den giftige da min erimit og sådan gik til.
Jeg angreb det med UV, Blackout en uges tid og efterfølgende doserede jeg store mængder Phyto. Og når man bekæmper dino's skal der store mængder til!
Ved Seniorreefer har en god beskrivelse af hvordan forløb med phyto dosering ku se ud.
Tænk hvis alle danske søer var af øl, tænk hvis alle danske søer var af øl. Så vil jeg ligge nede på bunden og få bajer smag i munden, tænk hvis alle danske søer var af øl.
-
ttkthomsen
- Rev haj

- Reactions: 319
- Indlæg: 2067
- Tilmeldt: fre 28. maj 2004 19:25
- 21
- Postnummer: 4600 Køge
- Saltvand siden?: 2009
- Geografisk sted: Strøby egede
Re: dinoflagellates
Men jeg tænker at det er præcis de banditter. Låner et mikroskop med, så må jeg se om jeg kan tage et billede i aften jeg kan ligge op i fb gruppen og bliver klog på hvad det er jeg har.Seniorreefer skrev: tirs 19. mar 2024 12:32 Sådan ser de giftige ud.
IMG_0029.jpegIMG_0032.jpeg
Husk dinox kun tager nogle former for dino
Hvor meget phyto anvendte du, da du skulle bekæmpe dem? og hvad lå du på i po4 og no 3?
Vh
Tonning
Senest rettet af ttkthomsen tirs 19. mar 2024 14:05, rettet i alt 1 gang.
-
ttkthomsen
- Rev haj

- Reactions: 319
- Indlæg: 2067
- Tilmeldt: fre 28. maj 2004 19:25
- 21
- Postnummer: 4600 Køge
- Saltvand siden?: 2009
- Geografisk sted: Strøby egede
Re: dinoflagellates
Men blackout en uges tid er svært når der er koraller i bajlen, jeg har helt dårlig samvittighed over de 24 timers jeg er igang med.Holst skrev: tirs 19. mar 2024 13:59 Det er pisse hamrende træls !
Jeg havde Dino's også for noget tid siden. Jeg er ikke helt klar over hvilken jeg havde, men vil tro det var den giftige da min erimit og sådan gik til.
Jeg angreb det med UV, Blackout en uges tid og efterfølgende doserede jeg store mængder Phyto. Og når man bekæmper dino's skal der store mængder til!
Ved Seniorreefer har en god beskrivelse af hvordan forløb med phyto dosering ku se ud.
Jeg må nok heller se om jeg kan få fat i sådan et uv.
Vh
Tonning
- Holst
- Rev Papegøje fisk

- Reactions: 100
- Indlæg: 977
- Tilmeldt: man 28. jan 2008 10:11
- 17
- Postnummer: 6800 Varde
- Saltvand siden?: 2009
- Geografisk sted: Varde
Re: dinoflagellates
ttkthomsen skrev: tirs 19. mar 2024 14:05Men blackout en uges tid er svært når der er koraller i bajlen, jeg har helt dårlig samvittighed over de 24 timers jeg er igang med.Holst skrev: tirs 19. mar 2024 13:59 Det er pisse hamrende træls !
Jeg havde Dino's også for noget tid siden. Jeg er ikke helt klar over hvilken jeg havde, men vil tro det var den giftige da min erimit og sådan gik til.
Jeg angreb det med UV, Blackout en uges tid og efterfølgende doserede jeg store mængder Phyto. Og når man bekæmper dino's skal der store mængder til!
Ved Seniorreefer har en god beskrivelse af hvordan forløb med phyto dosering ku se ud.
Jeg må nok heller se om jeg kan få fat i sådan et uv.
Vh
Tonning
Hehe, men de skal nok klare den.
Du kan jo starte med 3 dage også se hvordan det ser ud. 24 Timer rækker ikke spor ! Så kan du lige så godt lade være..
Tænk hvis alle danske søer var af øl, tænk hvis alle danske søer var af øl. Så vil jeg ligge nede på bunden og få bajer smag i munden, tænk hvis alle danske søer var af øl.
-
ttkthomsen
- Rev haj

- Reactions: 319
- Indlæg: 2067
- Tilmeldt: fre 28. maj 2004 19:25
- 21
- Postnummer: 4600 Køge
- Saltvand siden?: 2009
- Geografisk sted: Strøby egede
Re: dinoflagellates
Hmmmm det er satme lang tidHolst skrev: tirs 19. mar 2024 14:16ttkthomsen skrev: tirs 19. mar 2024 14:05Men blackout en uges tid er svært når der er koraller i bajlen, jeg har helt dårlig samvittighed over de 24 timers jeg er igang med.Holst skrev: tirs 19. mar 2024 13:59 Det er pisse hamrende træls !
Jeg havde Dino's også for noget tid siden. Jeg er ikke helt klar over hvilken jeg havde, men vil tro det var den giftige da min erimit og sådan gik til.
Jeg angreb det med UV, Blackout en uges tid og efterfølgende doserede jeg store mængder Phyto. Og når man bekæmper dino's skal der store mængder til!
Ved Seniorreefer har en god beskrivelse af hvordan forløb med phyto dosering ku se ud.
Jeg må nok heller se om jeg kan få fat i sådan et uv.
Vh
Tonning
Hehe, men de skal nok klare den.
Du kan jo starte med 3 dage også se hvordan det ser ud. 24 Timer rækker ikke spor ! Så kan du lige så godt lade være..
- Holst
- Rev Papegøje fisk

- Reactions: 100
- Indlæg: 977
- Tilmeldt: man 28. jan 2008 10:11
- 17
- Postnummer: 6800 Varde
- Saltvand siden?: 2009
- Geografisk sted: Varde
Re: dinoflagellates
Jeg har et 36W, det gik fint.
Nogle (de gamle) har ikke vortex opbygningen også har det ikke meget kontakt med vandet. Så det skal du være opmærksom på.
Også skal flowet være korrekt i et eller andet omfang..
Læs evt. lidt i denne artikel.
https://www.bulkreefsupply.com/content/ ... ep27-dinos
Nogle (de gamle) har ikke vortex opbygningen også har det ikke meget kontakt med vandet. Så det skal du være opmærksom på.
Også skal flowet være korrekt i et eller andet omfang..
Læs evt. lidt i denne artikel.
https://www.bulkreefsupply.com/content/ ... ep27-dinos
Tænk hvis alle danske søer var af øl, tænk hvis alle danske søer var af øl. Så vil jeg ligge nede på bunden og få bajer smag i munden, tænk hvis alle danske søer var af øl.
-
ttkthomsen
- Rev haj

- Reactions: 319
- Indlæg: 2067
- Tilmeldt: fre 28. maj 2004 19:25
- 21
- Postnummer: 4600 Køge
- Saltvand siden?: 2009
- Geografisk sted: Strøby egede
Re: dinoflagellates
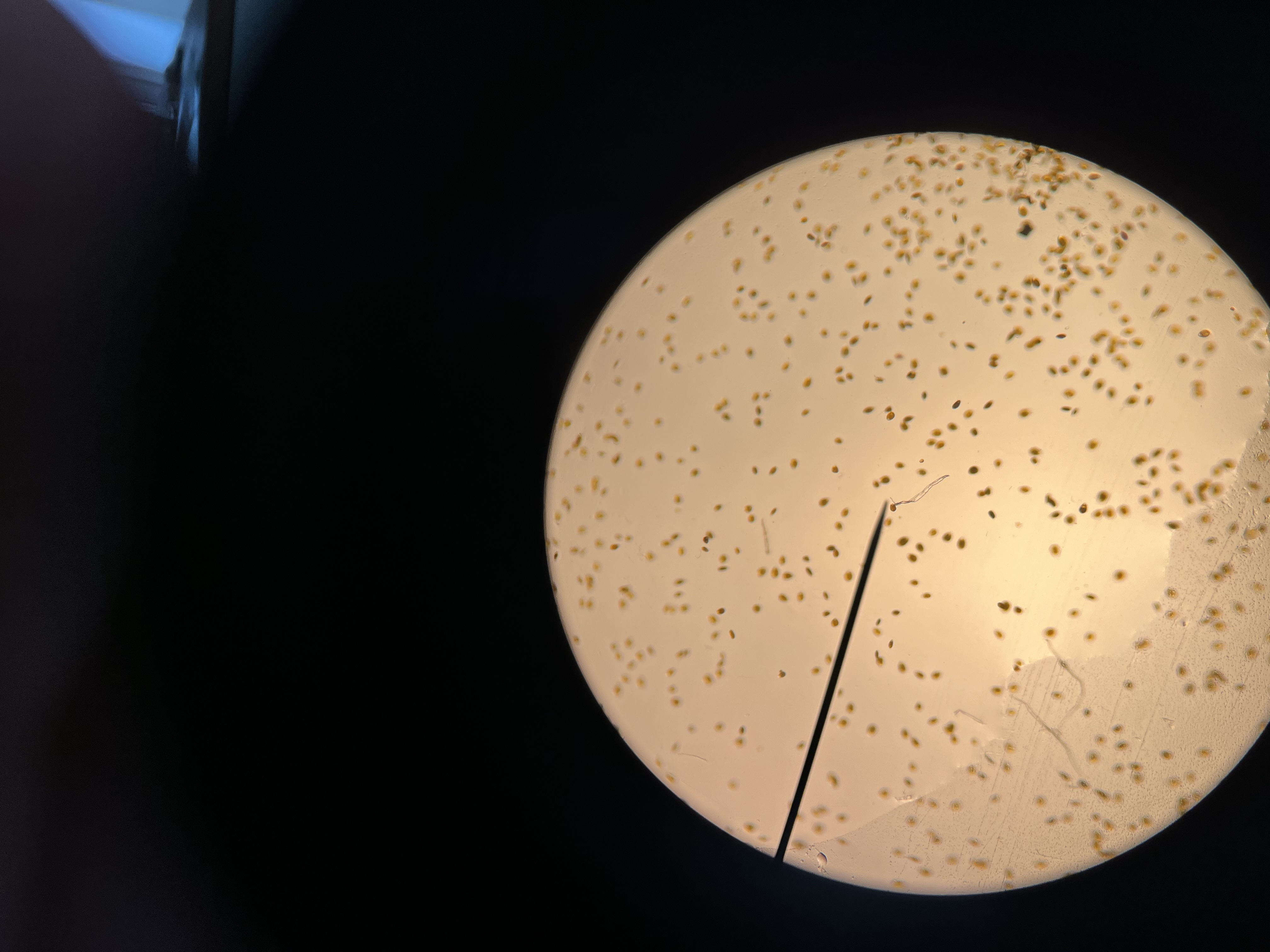
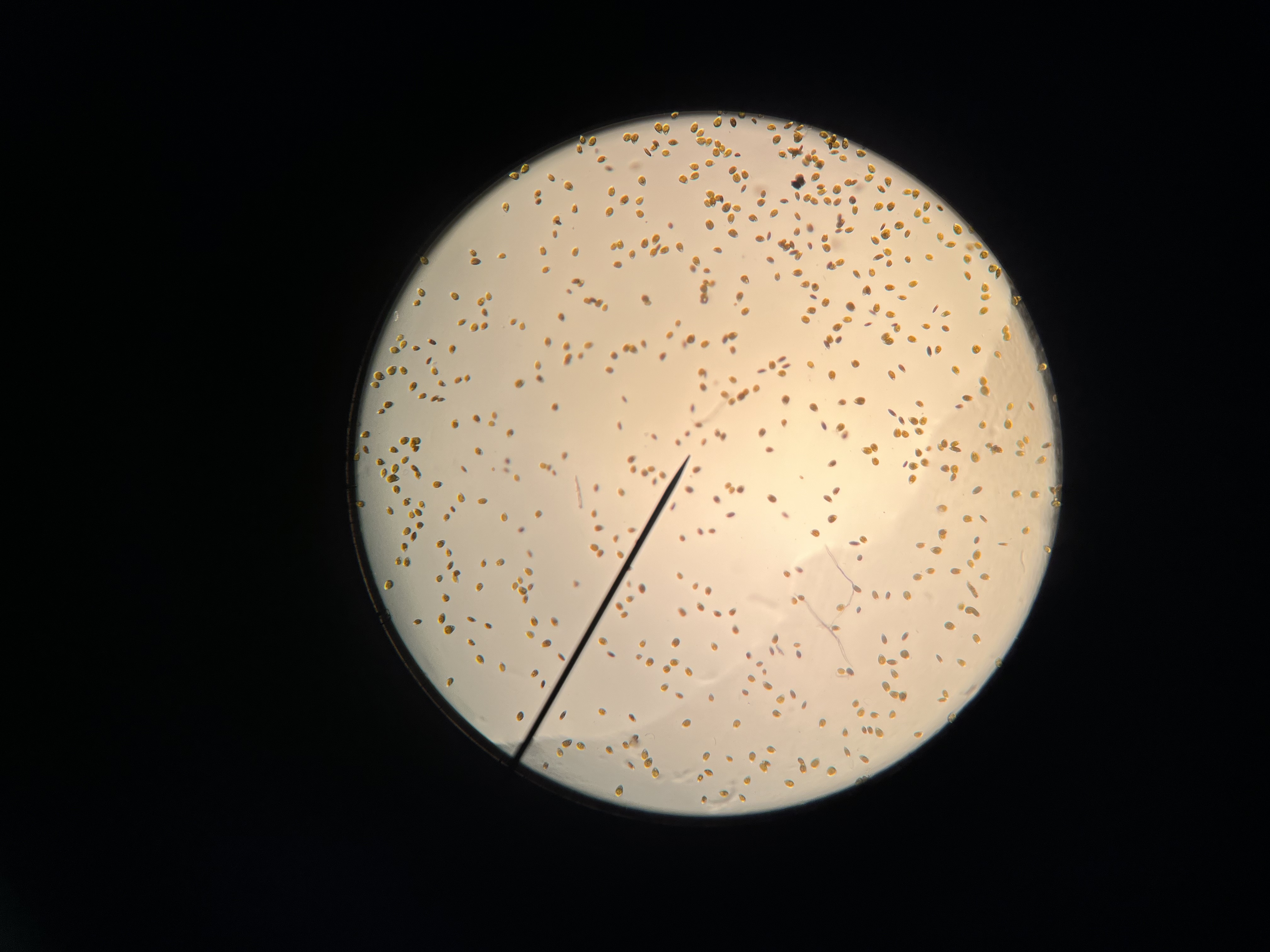
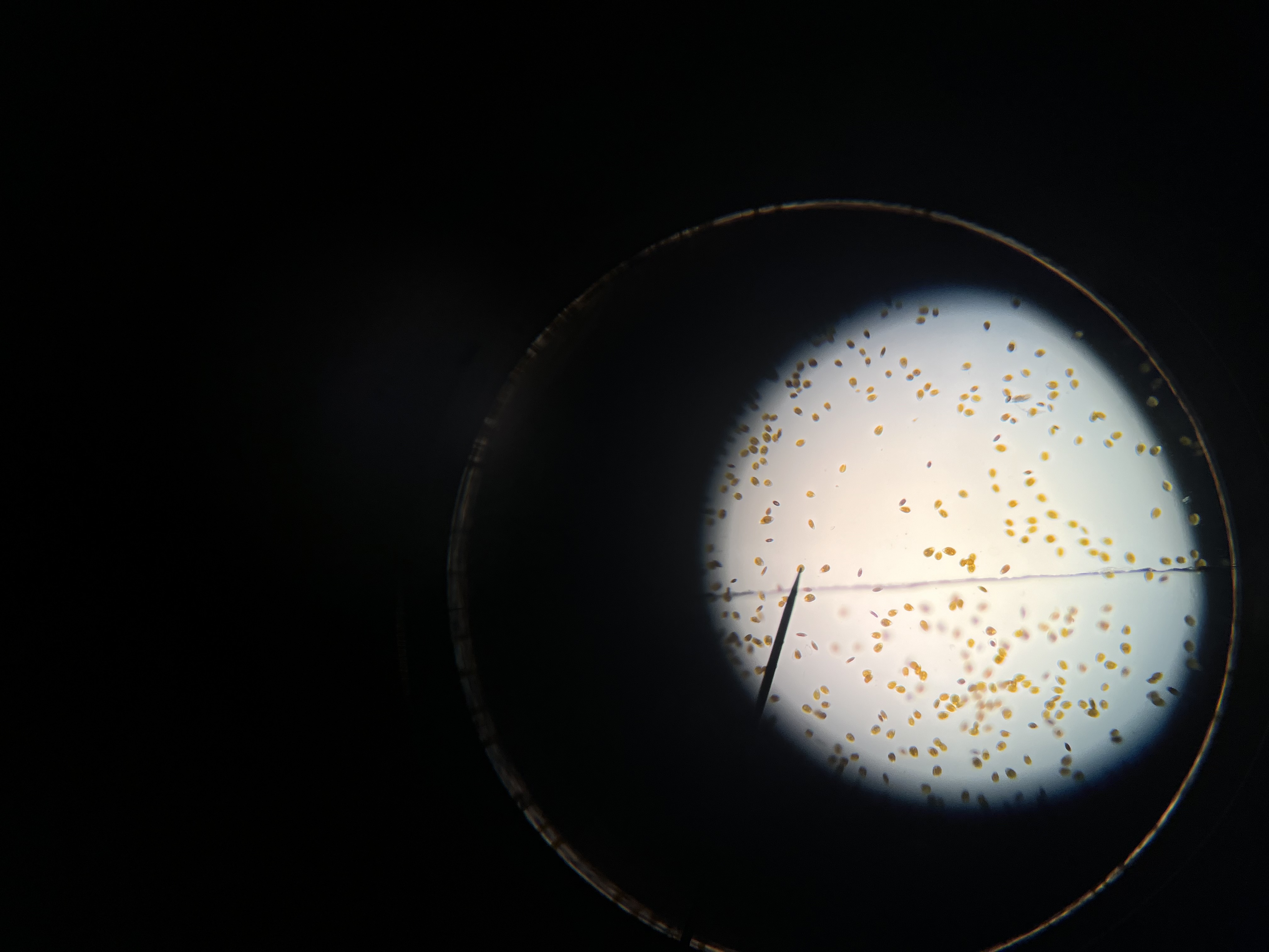
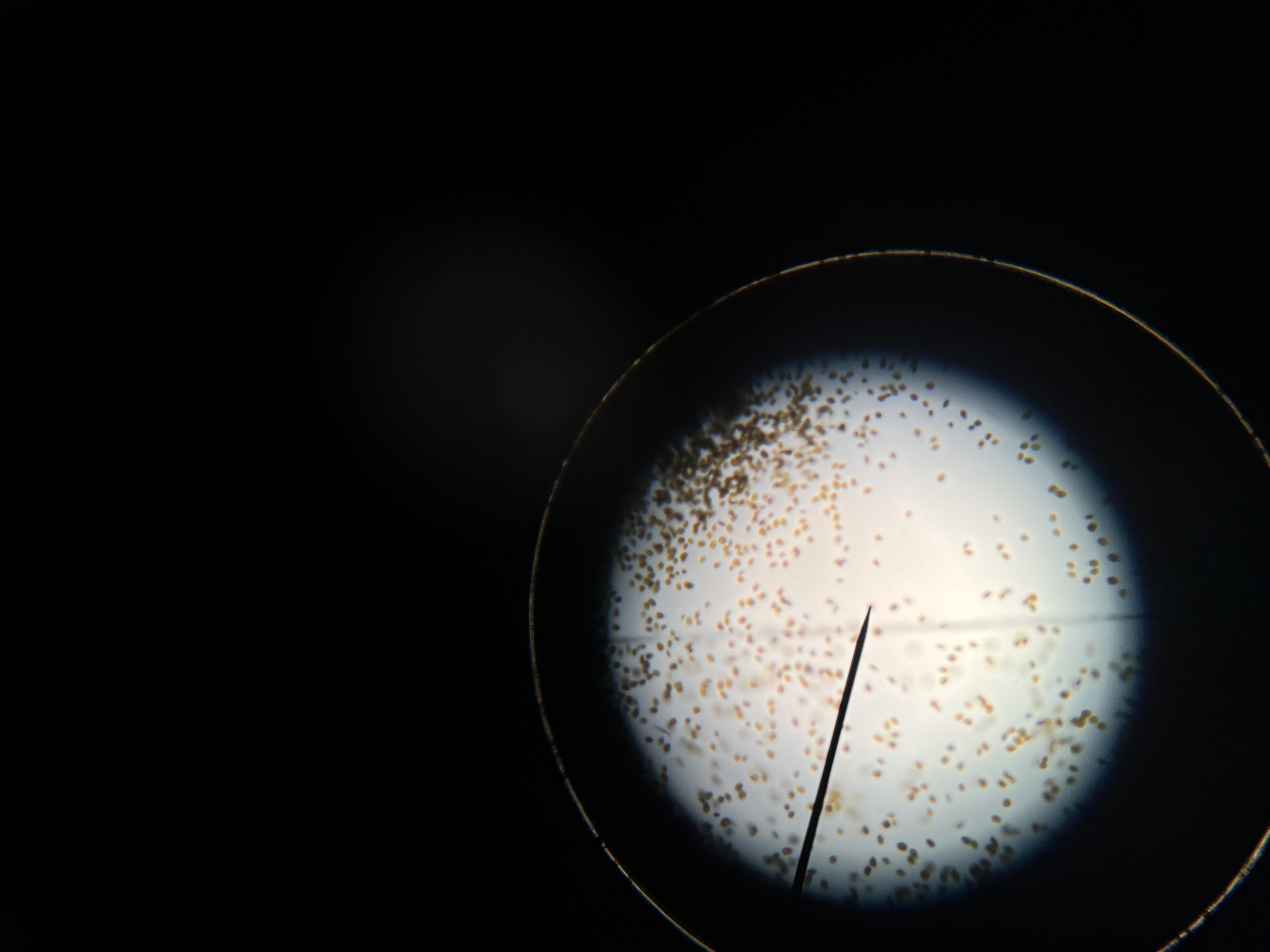
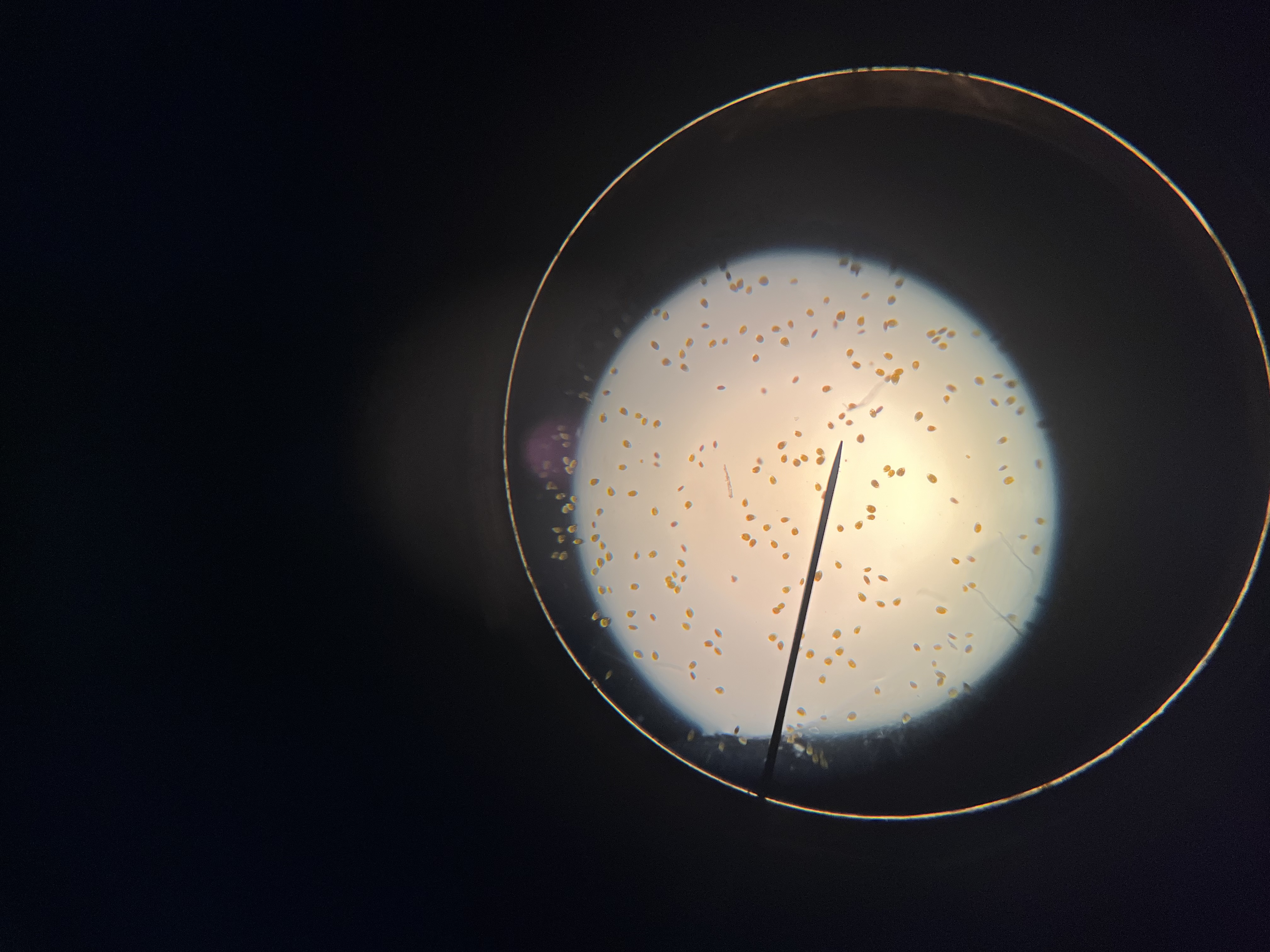
Så har der været gang i mikroskopet, og der er lagt billeder på FB, håber der kommer et id. Det er godt nok svært at tage billeder igennem sådan et lille rør
-
Seniorreefer
- Rev haj

- Reactions: 848
- Indlæg: 2034
- Tilmeldt: søn 3. jul 2022 19:46
- 3
- Postnummer: 8800 Viborg
- Saltvand siden?: 1992
- Geografisk sted: Viborg
- Kontakt:
Re: dinoflagellates
Det er de giftige og på med uv 24/7 og aktivkul. Husk at vandet skal tages tages direkte fra akvariet og tilbage.
Ang. No3 og PO4 - du vil få “falske” målinger, da dinoerne optager det. Jeg blev ved med at fodre phytoplanton og kom helt op på 15 mg/l No 3. Den dag jeg så at trådalgerne var begyndt at komme, blev jeg mega glad
Ang. No3 og PO4 - du vil få “falske” målinger, da dinoerne optager det. Jeg blev ved med at fodre phytoplanton og kom helt op på 15 mg/l No 3. Den dag jeg så at trådalgerne var begyndt at komme, blev jeg mega glad
600L - 90% LPS/SPS. - Its all about stability
Min rejse https://www.saltvandsforum.dk/viewtopic ... 94&t=93642
My Photo Web https://seniorreefer.dk/
Instagram https://www.instagram.com/senior_reefer/
Min rejse https://www.saltvandsforum.dk/viewtopic ... 94&t=93642
My Photo Web https://seniorreefer.dk/
Instagram https://www.instagram.com/senior_reefer/
-
ttkthomsen
- Rev haj

- Reactions: 319
- Indlæg: 2067
- Tilmeldt: fre 28. maj 2004 19:25
- 21
- Postnummer: 4600 Køge
- Saltvand siden?: 2009
- Geografisk sted: Strøby egede
Re: dinoflagellates
Jeg få købt et uv ham fra FB gruppen skrev 1 w pr 3 gallon hvilke svare til jeg skal finde er på 80 w. Er det både vand til reaktor med aktiv kul og uv der skal komme direkte fra akvariet (og ikke sumpen)? For så skal jeg til at trylle med noget rørføring. Jeg tænker at mit mørklægningsprojekt kan jeg godt glemme? Hvor meget phyto anvendte du ml pr dag og jeg har også synechococcus vil du også anvende det?Seniorreefer skrev: tirs 19. mar 2024 16:47 Det er de giftige og på med uv 24/7 og aktivkul. Husk at vandet skal tages tages direkte fra akvariet og tilbage.
Ang. No3 og PO4 - du vil få “falske” målinger, da dinoerne optager det. Jeg blev ved med at fodre phytoplanton og kom helt op på 15 mg/l No 3. Den dag jeg så at trådalgerne var begyndt at komme, blev jeg mega glad
1
-
Seniorreefer
- Rev haj

- Reactions: 848
- Indlæg: 2034
- Tilmeldt: søn 3. jul 2022 19:46
- 3
- Postnummer: 8800 Viborg
- Saltvand siden?: 1992
- Geografisk sted: Viborg
- Kontakt:
Re: dinoflagellates
Nej, bare uv
I mit hældte jeg 250ml synechococcus i pr 2 dage. Husk at slukke uv.
Ang phytoplanton må vi lige have en samtale. Jeg kan ikke få fra planton24de mere, da de ikke sender udenlands
I mit hældte jeg 250ml synechococcus i pr 2 dage. Husk at slukke uv.
Ang phytoplanton må vi lige have en samtale. Jeg kan ikke få fra planton24de mere, da de ikke sender udenlands
600L - 90% LPS/SPS. - Its all about stability
Min rejse https://www.saltvandsforum.dk/viewtopic ... 94&t=93642
My Photo Web https://seniorreefer.dk/
Instagram https://www.instagram.com/senior_reefer/
Min rejse https://www.saltvandsforum.dk/viewtopic ... 94&t=93642
My Photo Web https://seniorreefer.dk/
Instagram https://www.instagram.com/senior_reefer/
-
Suroma
- Reactions: 0
Re: dinoflagellates
Hvis ikke du har styr på nedenstående, så prøv at komme indenfor disse.
Dino kan komme når:
Forholdet mellem nitrat og fosfat ikke er omkring 100:1, som er den ideelle relation.
Jod falder til under 0,05 mg/l
Fluor falder under 1 mg/l
Brom falder til under 55 mg/l
Molybdæn falder til under 10 µg/l
Derudover er det hjælpsomt med 6 timers belysning om dagen.
Dino kan komme når:
Forholdet mellem nitrat og fosfat ikke er omkring 100:1, som er den ideelle relation.
Jod falder til under 0,05 mg/l
Fluor falder under 1 mg/l
Brom falder til under 55 mg/l
Molybdæn falder til under 10 µg/l
Derudover er det hjælpsomt med 6 timers belysning om dagen.
Senest rettet af Suroma ons 20. mar 2024 16:45, rettet i alt 1 gang.
- nbd
- Rev haj

- Reactions: 47
- Indlæg: 2071
- Tilmeldt: man 27. aug 2007 21:47
- 18
- Postnummer: 6000 Kolding
- Saltvand siden?: 1988
- Geografisk sted: Kolding
Re: dinoflagellates
Inden du bruger gift, bør du overveje at Symbiodinium er den største og mest udbredte gruppe af endosymbiotiske dinoflagellater, som er kendt, og de har fotosymbiotiske forhold med koraller og søanemoner. En kur vil derfor også kunne ramme korallerne...
1
-
ttkthomsen
- Rev haj

- Reactions: 319
- Indlæg: 2067
- Tilmeldt: fre 28. maj 2004 19:25
- 21
- Postnummer: 4600 Køge
- Saltvand siden?: 2009
- Geografisk sted: Strøby egede
Re: dinoflagellates
Når mørklægning i 2 dage gav ingen synlig effekt, chemiclean heller ikke, nu er der monteret et 80 w deltec UW lys (tak til Decocean for hurtig hjælp).
-
ttkthomsen
- Rev haj

- Reactions: 319
- Indlæg: 2067
- Tilmeldt: fre 28. maj 2004 19:25
- 21
- Postnummer: 4600 Køge
- Saltvand siden?: 2009
- Geografisk sted: Strøby egede
Re: dinoflagellates
Min Fauna Marine test der blev sendt afsted inden jeg fik alger (20/2) sagde:Suroma skrev: tirs 19. mar 2024 18:05 Hvis ikke du har styr på nedenstående, så prøv at komme indenfor disse.
Dino kan komme når:
Forholdet mellem nitrat og fosfat ikke er omkring 100:1, som er den ideelle relation.
Jod falder til under 0,05 mg/l
Fluor falder under 1 mg/l
Brom falder til under 55 mg/l
Molybdæn falder til under 10 µg/l
Derudover er det hjælpsomt med 6 timers belysning om dagen.
Nitrat 3,94 mg/L
PO4 0,021 mg/l
Jod 0,031 mg/l
Fluor 0,44 mg/l
Bromine 75,1 mg/l
Molybdæn 7,2 mg/l
Så en del af paramenterne har jo ligget en del under, men alle er korrigeret ind efter deres anvisning efterfølgende.
Men jeg ligger jo heller ikke inden for 100:1 med nitrat og phosphat..
Når algerne er væk, så får jeg lavet et vand skifte, og så sendt en ny icp afsted og så må det være udgangspunktet for en nye perioden uden problemer!"
-
Suroma
- Reactions: 0
Re: dinoflagellates
Det er rigtig fint at du har korrigeret, desværre så forholder det sig sådan, at de anbefalede mængde er baseret på at ramme midt i feltet.ttkthomsen skrev: tors 21. mar 2024 09:36Min Fauna Marine test der blev sendt afsted inden jeg fik alger (20/2) sagde:Suroma skrev: tirs 19. mar 2024 18:05 Hvis ikke du har styr på nedenstående, så prøv at komme indenfor disse.
Dino kan komme når:
Forholdet mellem nitrat og fosfat ikke er omkring 100:1, som er den ideelle relation.
Jod falder til under 0,05 mg/l
Fluor falder under 1 mg/l
Brom falder til under 55 mg/l
Molybdæn falder til under 10 µg/l
Derudover er det hjælpsomt med 6 timers belysning om dagen.
Nitrat 3,94 mg/L
PO4 0,021 mg/l
Jod 0,031 mg/l
Fluor 0,44 mg/l
Bromine 75,1 mg/l
Molybdæn 7,2 mg/l
Så en del af paramenterne har jo ligget en del under, men alle er korrigeret ind efter deres anvisning efterfølgende.
Men jeg ligger jo heller ikke inden for 100:1 med nitrat og phosphat..
Når algerne er væk, så får jeg lavet et vand skifte, og så sendt en ny icp afsted og så må det være udgangspunktet for en nye perioden uden problemer!"
Jod optages lynhurtigt når det er i underskud og og falder derfor hurtigt igen, derfor anbefales det at tilsætte jod til noget over den maksimale anbefalede værdi gerne omkring 0,1 mg/liter. Jod udfælder i øvrigt hurtigt.
Fluor skal i forhold til jod ligge i omegnen 15:1, hvilket du rammer ret godt iht. din icp test.
Men først skal molybdæn være på plads, ellers er de andre ikke stabile.
Brom er i den høje ende men falder på plads når de andre er ok.
Da jeg ikke kender det konkrete antal liter vand du cirkulerer, kan jeg ikke komme med et doserings forslag.
Bemærk i øvrigt at værdierne kun har relevans hvis din saltholdighed er 35 promille.... i modsat fald skal man omregne.
Da jeg ikke har set icp testen i sin helhed, kan jeg ikke komme med bedre råd end ovenstående.
Håber du snart kommer problemet til livs.
-
Suroma
- Reactions: 0
Re: dinoflagellates
Tror desværre ikke du får den ønskede effekt med uv.ttkthomsen skrev: tors 21. mar 2024 09:26 Når mørklægning i 2 dage gav ingen synlig effekt, chemiclean heller ikke, nu er der monteret et 80 w deltec UW lys (tak til Decocean for hurtig hjælp).
-
ttkthomsen
- Rev haj

- Reactions: 319
- Indlæg: 2067
- Tilmeldt: fre 28. maj 2004 19:25
- 21
- Postnummer: 4600 Køge
- Saltvand siden?: 2009
- Geografisk sted: Strøby egede
Re: dinoflagellates
Det var der nørderne forslå på fbSuroma skrev: tors 21. mar 2024 17:57Tror desværre ikke du får den ønskede effekt med uv.ttkthomsen skrev: tors 21. mar 2024 09:26 Når mørklægning i 2 dage gav ingen synlig effekt, chemiclean heller ikke, nu er der monteret et 80 w deltec UW lys (tak til Decocean for hurtig hjælp).
